안녕하세요. 이진복한의원 이진복원장입니다.
힘줄의 경우 그에 대해서 따로 정리된 전문 서적도 없을뿐더러 임상에서도 크게 중요한 부위로 취급받지 못하는 경향이 있습니다. 그러나 실제 건염(腱炎)으로 고생 받고 있는 환자들은 매우 많으며, 쉽게 호전되지 못해 급성 건염이 만성 건염으로 넘어가는 사례도 많습니다. 특히 제대로 치료를 받지 못하면 퇴행성 변화에 의해 조직학적 변형이 생기게 되면 치료는 더욱 어려워집니다.
1. 힘줄이란 무엇인가?

▲ 그림 1. 건의 위계 구조
환자들이 가장 많이 헷갈려하는 것 중 하나가 인대와 건(腱)의 차이입니다. 둘 다 콜라겐으로 이루어진 조직으로 우리 몸을 지지하는 역할을 하게 되는데, 어떤 조직 사이를 연결하고 있는지에 따라 건이 되기도 인대가 되기도 합니다. 즉, 뼈와 뼈를 연결하는 것은 인대(ligament)이고, 근육과 뼈를 연결하는 것은 건(tendon)입니다. 건(힘줄)의 경우 Type 1 collagen으로 이루어져 있으며 높은 장력을 가지고 있는데, 그 장력은 뼈와 비슷할 정도로 강력합니다.
콜라겐은 섬유다발로 정렬되어 있으며 대부분 건(힘줄)의 진행방향으로 주행하지만 일부는 수직 및 나선형으로 존재하기도 합니다. 건(힘줄)이 미세하게 찢어지는 Micro-injury의 경우 초음파 에코 상 장축의 긴 띠 형태가 주로 나타나지만, 가끔은 장축에서 수직선상으로 발견되는 경우도 있습니다.
건(힘줄)의 구조를 보면 건내막(endotendineum, 힘줄속막)이 모여 건상막(peritendineum, 힘줄다발막)이 되고, 느슨한 결합조직, 탄력섬유, 작은 혈관과 함께 모여서 최종적으로 건외막(epitendineum, 힘줄바깥막)으로 싸여집니다. 건외막의 경우 가장 외부를 싸고 있기 때문에 그 강도가 가장 튼튼합니다. 역으로 건외막이 손상되는 경우 건의 손상정도가 가장 크다고 할 수 있습니다.
건(힘줄)은 그 부착하는 방식에 따라서 2가지로 나눌 수 있습니다. 주행방향 끝부분에서 뼈와 곧바로 연결된 건(1형)과 부착부위 직전에 방향이 바뀌는 건(2형)입니다. 마찰을 줄이기 위해 각각 다른 외피로 덮여있기 때문에 초음파 상 다른 특징을 나타냅니다.

▲ 그림 2. 활막초(synovial sheath)와 지지대(renitacula)를 확인할 수 있는 손의 힘줄 그림
1형의 경우 loose areolar and apdipose tissue로 이루어진 건주위조직(paratenon)으로 감싸져 있습니다. 이 건주위조직에는 군데군데 혈관의 통로가 존재합니다. 건주위조직은 건상막(epitendineum)과 섞여서 건초(peritendon)를 형성하는데, 이 부위는 초음파 음영 상 얇은 고에코의 막으로 보이게 됩니다. 1형의 경우 장력이 강하기 때문에 강한 힘이 전달되는 부위에 많이 분포하는데, 아킬레스건이 대표적입니다.
2형 건조직은 활액막과 동일한 세포층으로 이루어진 세포내막을 가진 활막초(synovial sheath)로 덮여 있습니다. 즉 부드러운 물주머니가 내부에 있다고 생각할 수 있겠습니다. 내부층은 건상막(epitendineum)을 덮고, 바깥쪽은 주변 결체조직과 이어집니다. 이 두 층은 힘줄간막(mesotendon)으로 연결되어 있는데 이는 활액막에 혈액공급의 통로를 제공합니다. 아마도 두 층 사이에 윤활액을 생성하기 위해서는 혈류공급이 1형보다는 더 잘돼야 하기 때문일 것입니다. 활액막은 건초 안에서 건이 마찰력 없이 미끄러지게 합니다. 힘줄 주변에 뼈 조직이 많은 경우에서와 같이 잦은 마찰이 있는 위치에서 많이 발견되는데, 회전근개의 힘줄이 여기에 해당합니다. 2형 건조직에 건활막염(tendosynovitis)이 있는 경우 이 안의 막에 부종이 발생합니다.
건(힘줄)은 해부학적 위치를 유지하기 위해서 지지대(retinacula)를 갖는 경우도 있습니다. 건(힘줄)의 경우 주변에 관절이나 뼈를 지날 경우에 해부학적 위치를 유지하기 위해서 retinacula라는 지지대를 지나게 됩니다. 지지대의 양끝부분에 위치한 뼈의 융기 부분에 부착된 심부 근막의 일부가 두꺼워지면서 지지대가 만들어집니다. 마찰에 의해서 염증이 발생한다면 삼출물에 의해서 저에코 영역이 더 두텁게 보일 것입니다. 주로 손가락과 같이 말초부분에 존재하는 유형입니다.
2. 건염과 구분되는 건증(tendinosis)
보통 반복된 근육 사용에 의해서 힘줄에 과도한 긴장에 가해지면 염증이 발생하기 쉽습니다. 통증을 동반한 건의 병적 상태(painful tendinopathy)를 종종 건염(tendinitis)이라고 부르지만, 모든 건의 병리적 상태가 건염인 것은 아닙니다.
만약 퇴행성 변화를 동반하는 경우라면 그에 대해서는 건증(tendinosis)이라는 용어를 사용하는 것이 옳습니다. 퇴행성 변화의 경우 조직병리학적인 관점에서 관찰해야 합니다. 건증(Tendinosis)에서는 건의 조직학적 구성을 이루고 있는 콜라겐이 손상되는데 이는 허혈성 손상이나 세포독성의 결과 퇴행성 변형이 발생한 것입니다. 그 결과 glucosaminoglycan의 축적을 초래하게 되는데, 쉽게 말해서 힘줄에만 나이가 들어서 단단한 콜라겐 조직이 허여멀건 겔(gel) 같은 조직으로 바뀌어서 조직의 내구성이 줄어드는 과정이라고 볼 수 있습니다.

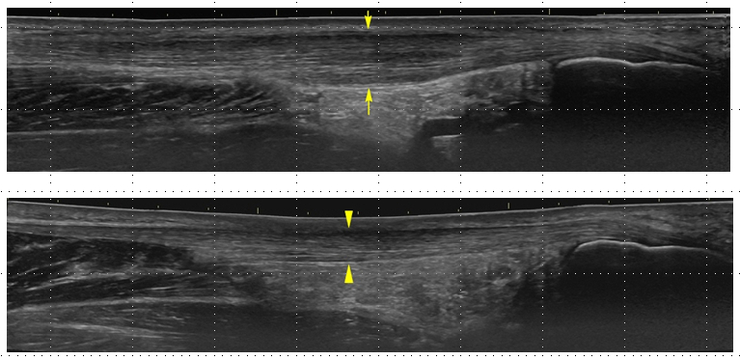
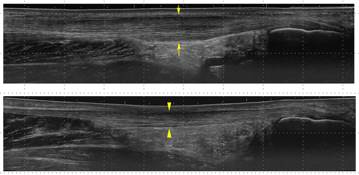
▲ 그림 3. 건증(tendinosis)에서의 아킬레스건과 정상 아킬레스건
<그림 3>의 위쪽 영상은 Achilles 건증으로 인해 아킬레스건이 두꺼워진 상태를 보여줍니다. 아래쪽 사진은 동일 환자의 건측 아킬레스건입니다. 위쪽 사진의 건(tendon)은 9㎜ 정도의 두께를 보입니다.
그렇다면 왜 건이 스스로 손상이 되는 것일까요? 퇴행성 변화의 첫 번째 과정은 대부분 허혈(ischemia)에 의해서 유발되는데, 허혈의 원인은 건의 내부에 혈류가 적은 critical zone이 존재하기 때문입니다. 건의 치료에 있어서 혈류의 흐름이 중요한 이유도 여기에 있습니다. 특히 건염, 힘줄염과 같은 경우에는 발목, 발 이하의 조직, 손목, 팔꿈치 이하의 조직에서 많이 발생하는데, 신체의 중심에서 말초로 갈수록 혈관의 직경은 줄어들고 혈류량은 감소하는 경향이 있기 때문입니다. 연구결과 건의 퇴행성 변화가 잘 일어나는 경우는 인체 내부의 질환을 동반하여 혈류순환이 저하된 경우가 많았다고 합니다. 특히 대퇴사두근건, 슬개건, 손가락과 손목의 굴곡, 신전건, 후경골근건의 경우 전신적 질환에 주로 영향을 받는다고 연구되어 있으므로 이 부위의 건 질환이 오래간다면 전신질환을 확인해 볼 필요가 있겠습니다.
3. 건손상을 구분하는 Clancy 등급
건 손상(건염, 건병증 등)의 등급을 명확히 나눈 것을 Clancy 등급이라고 합니다. Clancy 등급은 1999년 Bonar에 의해서 수정이 가해져서 Journal of Sports Medicine에 ‘Histopathology of common tendinopathies - Update and implication for clinical management’라는 이름으로 발표되었습니다. 그 대략적인 구분은 다음과 같습니다.
1) 건내 퇴행 혹은 건증(Tendinosis) : 건 내부의 퇴행성(흔히 나이, 미세 외상의 누적, 혈관의 손상이 원인)에 의해서 발생합니다. 조직학적으로는 교원질의 무방향성, 분열, 그리고 점성 기반물질의 증가로 섬유 분열, 신혈관의 출현에 상관없이 혈관 공간과 세포의 증가된 돌출, 병소상 괴사나 칼슘 침착이 보입니다.
2) 건염 혹은 부분적인 파열(Tendinitis or Partial rupture) : 염증의 회복 반응이 있는 상태를 말합니다. 그러나 혈관 장애와 퇴행성 징후는 여전히 존재합니다. 조직학적으로 찢어진 흔적, 섬유아세포와 근섬유아세포의 증식, 출혈과 육아발생 조직의 발생으로 인해서 퇴행성 변화 부위의 크기가 작게 보입니다.
3) 건주위염(Paratenonitis) : 단지 건 외부의 염증, 장소에 관계없이 건주위는 활액막에 의해 감싸여 있습니다. 조직학적으로는 망상조직 내에 점액성 병변이 존재합니다. 삼출물은 있을 수도 없을 수도 있으며, 병소의 섬유소 침착을 확인할 수 있습니다.
4) 건내 퇴행이 있는 건주위염 : 건 주위의 염증이 건 내부의 퇴행성 조직과 연결된 경우입니다. 건 주위에 염증세포가 분산되어 있으며, 점액성 병변이 있는 건(tendon) 내부 퇴행성 변화를 확인할 수 있습니다.
그러므로 이 내용을 살펴보면 꼭 급성은 건염, 만성은 건증이라고 볼 수도 없습니다. 내부에 퇴행성 변화가 없는 건염이 오래된 경우를 만성 건염이라고 부를 수 있으며, 건 내부 조직의 퇴행성 변화가 급성으로 발생한 경우는 급성 건증이라고 명명할 수 있습니다. 그렇다면 그 치료의 예후는 어떠할까요?
4. 건손상의 회복기간
건염의 경우 급성 과사용으로 온 경우 며칠에서 2주면 회복됩니다. 다만, 만성적인 염증상태로 넘어가게 된 경우에는 4~6주 사이의 회복 기간이 소요되기도 합니다. 건증의 경우에는 더 긴 시간 동안 재활에 매진해야 합니다. 급성 건증은 6~8주의 회복기간이 필요하며, 만성 건증의 경우는 약 6개월까지 치료 기간이 늘어날 수 있습니다. 심지어 만성 건증의 경우에는 스포츠 기능이 정상화 되지 않을 확률도 20% 정도나 됩니다.

건증의 회복을 위해서는 결국 혈류순환의 촉진과 건의 휴식과 안정이 우선되어야 합니다. 교원질 결합이 더 단단하게 성숙화되어야 강한 힘에서도 높은 장력으로 버틸 수 있도록 하고, 근력과 유연성이 동시에 증가해 건에 가해지는 장력을 최소화합니다. 근육 내 통증유발점이 있는 경우 근육의 장력이 증가하므로 여기에 대한 침 치료도 도움이 되며, 봉침의 경우 국소 혈류순환을 늘려주면서도 소염효과를 발휘하기에 더욱 좋습니다. 재활운동의 경우 무리한 근력 운동보다는 저중량으로 통증의 양상을 보면서 조금씩 진행해야 합니다. 수술적 요법으로는 비정상적인 glucosaminoglycan 부분을 제거하는 수술을 하는데 수술적 예후는 70~85% 정도가 성공적이라고 알려졌으나 수술 후 재활 회복 역시 4~6개월이나 소요됩니다.
SLE, 통풍, 당뇨, 류마티스질환. 부갑상선항진증, 만성신부전과 같은 전신적인 질환이 있는 경우에는 염증에 대한 면역계 활동에 이상이 있고, 세포 재생 능력이 떨어져 있으며, 혈류 순환의 제약이 존재합니다. 그러므로 상기 내과 질환만으로도 건파열의 원인이 될 수 있습니다. 따라서 이런 경우라면 내과적 상황을 함께 봐야만 치료 효과를 기대할 수 있을 것입니다. 위의 모든 질환이 자가면역적인 기전, 교감-부교감 신경의 부조화 기전, 혹은 만성적 체력적 저하 기전을 통해 건염을 악화시키기 때문에 한약의 투여 역시 도움을 줄 수 있습니다.
5. 건염의 치료와 스테로이드
양방에서는 건 질환의 치료에 있어 스테로이드를 주로 사용합니다. 문제는 부작용입니다. 현재 보고된 부작용으로는 불안, 초조, 우울, 고혈압, 체중의 증가, 고혈당증 혹은 당뇨병, 발기 장애, 성선기능 저하증, 무월경증, 소화성 궤양, 크롬병, 백내장, 망막병증, 칸디다증 등이 있습니다.
강한 소염효과로 인해 근골격계 질환에서도 역시 스테로이드가 사용되지만, 고용량 주사요법 후 횡문근융해증이나 횡격막 마비에 의한 호흡장애와 같은 치명적인 부작용이 보고되었고, 일반용량 주사요법 후 피하조직 손상, 피부색소 감소, 근력 감소 등도 보고되고 있습니다.

특히나 건염의 스테로이드 주사치료 후 건파열에 대한 보고가 늘어나고 있습니다. American Family Physician에 실린 논문 ‘Management of Chronic Tendon Injuries’에서는 스테로이드는 짧은 기간의 통증을 줄이는 효과가 있으나, 긴 기간 동안의 효과나 완전한 통증 완해기에 들어서게 하는 효과의 근거는 부족하다고 하였으며, ‘Common overuse tendon Problems: A review and recommendations for Treatment’ 에서는 스테로이드 주사치료는 농도와 기술, 시간 그리고 주사 후 관리법이 다양하지만 실험이나 논문을 통해 아직 정립되지 않았다고 하였습니다. 외상과염(테니스엘보우)에 대한 대규모 RCT 연구에서는 오히려 보존적 치료나 휴식이 상대적으로 효과가 있다고까지 말합니다. 특히 스테로이드는 주사가 건조직 내부에 침투하면 힘줄의 장력을 감소시키기 때문에 더욱 조심해야 하겠습니다.
| 스테로이드 주사는 건을 약하게 할 뿐만 아니라 근력 또한 감소시킨다. |
스테로이드는 힘줄뿐만 아니라 근육의 양도 줄이는 것으로 밝혀졌습니다. 2006년에 Radiology에 실린 ‘Steroid Myopathy. Evaluation of Fiber Atrophy with T2 Relaxation Time, Rabbit and Human study’에서는 MRI 영상과 현미경 연구를 통해 스테로이드 주사가 근육에 미치는 영향에 대해서 밝힌 바 있습니다. MRI 영상에서 T2 relaxation time은 근섬유의 위축과 비례해서 증가하는데, 스테로이드 치료 후 비복근의 근섬유 위축이 MRI로 확인되었으며, 실제 토끼의 비복근 근섬유를 현미경으로 확인한 결과도 같았습니다. 제2형 근섬유가 위축되어 그 직경이 감소되었으며 이로 인해 세포외 공간이 증가되었던 것이죠. 스테로이드 주사는 건을 약하게 할 뿐만 아니라 근력 또한 감소시킵니다. 충분한 근력과 근지구력이 없다면 건, 인대, 관절낭을 보호하지 못하고 쉽게 병변을 일으키기 때문에 스테로이드 치료를 받았던 환자라면 근섬유 위축에 대해 주의하면서 재활과정을 거쳐야 할 것입니다.
6. 골부착부 병증?
건염, 건초염은 대부분이 많이 들어봤던 부위의 문제이고, 비교적 치료에 쉽게 반응하는 편입니다. 딱히 봉침을 쓰지 않더라도 관련된 근육의 twitch를 일으켜 근육의 활동성 통증 유발점을 제거해서 dynamic stabilization을 시키거나, 테이핑을 통해 statical stabilization을 시키거나, 정 안되면 안정가료만 시켜주어도 일상생활 중에 병세는 호전되는 방향으로 진행됩니다.
그런데 enthesopathy라 부르는 골부착부 병증의 경우 젊은 환자분들이라 할지라도 주시해서 관리해야만 합니다. 힘줄은 뼈에 붙는 주변에서 더 심한 문제를 야기하는데, 골부착부 질환의 발병과정과 원인이 overuse에 의한 일반적인 건염, 건초염과는 다르기 때문입니다. 최근에 왔던 아킬레스건 골부착부 질환 환자는 봉침, 침, 테이핑, 한약치료를 2~3개월 정도 병행하여 치료한 이후에야 겨우 통증을 20% 미만으로 줄일 수 있었습니다.
골부착부(Enthesis)란 뼈에 tendon, ligament, aponeurosis 또는 capsule이 부착하는 지점을 말합니다. 뼈가 부착하는 부위에 발생하는 질환이기 때문에 해부학적 포인트를 인지하고 있어야 진단 및 치료가 용이해집니다. 골부착부 질환의 경우 주변 연부조직의 염증을 동반하기 때문에 단순히 외형상으로 골부착부 염증인지, 단순 건염인지, 건초염인지, 아님 점액낭염인지를 구분하기는 어렵습니다. 또 X-ray상에서는 단순한 enthesophyte(골극)으로 보이는 경우가 많아 단순히 골극이 존재하는 것인지, 아니면 염증성 상태를 동반하는 것인지 구분이 힘듭니다.
명확히 enthesitis(골부착부염)을 확인하게 위해서는 초음파나 MRI의 검사가 필요합니다. 다만 MRI의 경우 가격이 고가이고 그 검사에 걸리는 시간이 길어서 시간의 진행에 따라 골부착부의 염증성 상태를 추적 관찰하기에는 어려움이 있습니다. 초기 영상에서는 정상이지만, 시간이 지나면서 bony erosion, hyperososis, fragmentation, crystal deposition과 같은 특징적인 방사선 양상을 확인할 수 있는 경우가 많은데, 이런 상태가 발견되었을 때에는 이미 뼈의 변형이 진행되고 난 뒤입니다.

<!--[endif]-->
초음파 영상의 경우 enthesopathy를 진단하는데 있어서 매우 훌륭한 도구입니다. 층이 져 내려가는 듯한 step-down contour defect를 보이는 cortical breakage를 확인하기에도 좋을 뿐만 아니라 step-up bony prominence와 같은 enthesophytes를 발견하기에도 좋습니다. 게다가 초음파를 통해서는 periosseous edema, focal tendon thickening, 석회화된 비정상적인 tendon 등 주변 연부조직까지 추가적으로 확인할 수 있습니다.
골부착부염의 질병 진행은 연부조직의 비후 > 피질골 조직의 파괴(breakage) > 신생골 증식의 순서로 진행되게 됩니다. 골부착부의 염증은 전형적으로는 혈청 음성 척추관절병증에서 흔히 발생하며, 아킬레스건을 제외하고 혈청음성 척추관절병증에서 골부착부 질환이 가장 호발하는 곳은 슬개골의 위쪽 끝과 아래쪽 끝, 경골 조면, 종골의 상부 끝면이며, 그 다음으로는 좌골조면이었습니다. 혈청 음성 척추관절병증 이외에도 RA나 통풍(gout)이 있는 경우에도 골부착부의 염증이 잘 발생합니다. 즉 자가면역적인 염증성 기전이 기저에 있다는 것인데요, 이는 단순한 구조적 관점의 치료뿐만 아니라 전신의 면역기전을 바로잡는 치료의 필요성을 암시하는 부분입니다. 바로 한의학적 치료가 필요한 이유이기도 하지요.
뼈의 조직학적 구성이 관여되기 때문에 질환을 확인하고, 골 변형이 있기 전에 치료를 시작하는 것이 중요하겠습니다. 치료가 늦어질 경우 회복 속도는 느려지게 되므로 초기부터 적극적으로 치료에 임할 필요가 있겠습니다.
<내용출처:한의협동조합>

'의학이야기 > 의학 지식' 카테고리의 다른 글
| 이진복한의원 흉곽출구증후군(TOS) (0) | 2021.02.17 |
|---|---|
| 이진복한의원 아킬레스건염 (0) | 2021.02.16 |
| 이진복한의원 요추 추간판 협착증(Spinal stenosis) (0) | 2021.02.10 |
| 이진복한의원 교정(구조 VS 기능) (0) | 2021.02.09 |
| 이진복한의원 하지불안증후군 (0) | 2021.02.08 |
댓글