안녕하세요.
전주 이진복한의원 이진복원장입니다.
요근래 발 외측(5지측) 통증을 호소하면서 내원하시는 분들이 있습니다.
범인이 바로 단비골근인 경우가 많습니다. 정강이까지 치료하냐는 분들이 많아서 정리해봤습니다.
단비골근(Peroneus brevis)은 발목 바로 위에서부터 5번째 중족골 기저부에 붙어 있는 자그마한 근육입니다. 작다고 무시할 수 없는 근육입니다.
임상에서 이 근육 문제로 통증을 일으키는 경우를 자주 보게 되거든요.

발목의 외반(eversion) 족저굴곡(plantar flexion) 기능을 합니다.
내반염좌(inversion sprain)로 인해 손상되고, 근육 약화가 생기면 내반염좌가 반복적으로 나타납니다.
발목과 발날에 통증을 호소하는 경우 중에 5번째 중족골 기저부에 압통이 심한 경우가 많습니다.
바로 단비골근 힘줄이 부착하는 부위이죠.

발목을 삐끗하거나 운동 손상, 외부 충격 등으로 인해 이곳에 통증이 나타났다면 반드시 주의해야 하는 것이 있습니다. 바로 골절인 것이죠.

By Mikael Häggström, M.D.CC0, https://commons.wikimedia.org/w/index.php?curid=80875467
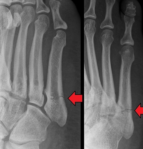
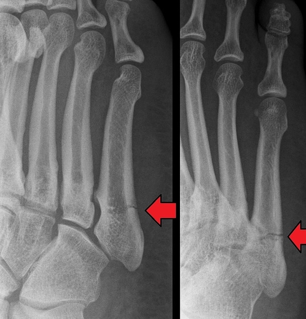
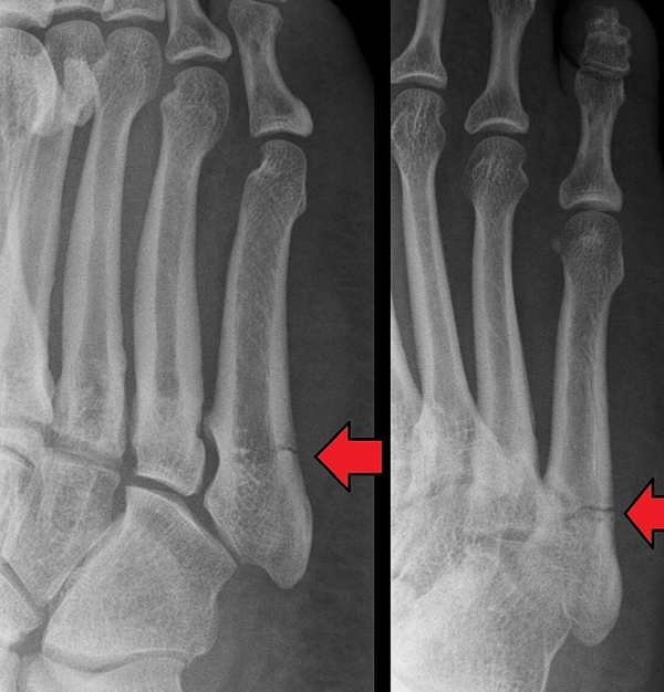
이 부위는 단비골근 힘줄의 과도한 당김으로 인해 뼈가 조각나 떨어지는 견열골절(Avulsion fracture)이 잘 생깁니다.
존스골절(Jones fracture)라고도 하는데 심한 경우에는 수술을 필요로 하기도 합니다.

By Mdscottis - Own work, CC BY-SA 3.0, https://commons.wikimedia.org/w/index.php?curid=34795057
지난 번 '오타와 룰'에 대해 이야기 한 적이 있습니다.
골절의 유무를 판단하기에는 엑스레이가 가장 정확하죠. 그렇다고 발목을 다친 환자에게 모두 엑스레이를 찍는다면 경제적 시간적 낭비가 심하므로 이것을 줄이고자 만든 것이 오타와 룰입니다. 그 중에서 5번째 발가락 중족골 기저부에 압통을 확인하는 이유가 여기에 있는 것입니다.
골절은 없는데도 통증이 삼한 경우가 있습니다. 단비골근 힘줄 부착부에 미세한 손상이 있는 것이죠. 간혹 외상은 없었는데 울퉁불퉁한 길을 오래 걷고 난 뒤나 무리하게 일을 한 뒤에도 증상이 나타날 수 있습니다.
이때는 건 부착부와 근복부에 약침 치료를 합니다.
전주 이진복한의원 이진복원장(한의학 박사, 침구의학과 전문의)

'의학이야기 > 의학 지식' 카테고리의 다른 글
| 전주 이진복한의원 수면의 단계 (0) | 2022.01.03 |
|---|---|
| 전주 이진복한의원 통증과 운동제한의 양상에 따른 병변 조직의 감별 (0) | 2021.12.30 |
| 전주 이진복한의원 단순 헤르페스 감염(단순포진) (0) | 2021.12.28 |
| 전주 이진복한의원 자궁선근증 (0) | 2021.12.27 |
| 전주 이진복한의원 아프니까 한약!! (0) | 2021.12.24 |
댓글