안녕하세요.
전주 이진복한의원 이진복원장입니다.
오늘은 임산부들에게 흔한 손목터널증후군(수근관증후군)에 대해 알아보겠습니다.
임신 기간 동안 체중증가 혹은 붓기로 인해 손 저림이나 손목 통증을 호소하는 분들이 생각보다 많은것 같아 도움이 되었으면 하는 마음에 이번 글의 주제는 '손목터널증후군'으로 정했습니다.(사실 며칠전에 오신 환자분이 계시는데 그분에게 도움이 되고자 글을 씁니다.)

물론 임산부에게만 발생하는 것은 아니니까 평소 손이 저리시거나, 손목쪽 통증이 있으신분들도 읽으시고 도움됐으면 좋겠습니다.
1. 개요 및 원인
손목터널증후군 (carpal tunnel syndrome, CTS) 은 손목관절의 손목터널이라는 구조안에 있는 정중신경 (median nerve)이 눌려서 발생합니다. 이렇게 신경이 눌림으로써 이상이 발생하는 것을 포획성 신경병증 (entrapment neuropathy) 이라고 하며, 손목터널증후군은 그 중에서도 가장 흔히 발생하는 유형으로 전체 인구의 1~3% 정도로 추산됩니다.
아래 그림처럼 손목 관절 부위에서 가로손목인대의 밑으로 지나가는 정중신경이 눌릴 경우, 파란색 음영으로 표시한 부분에 저림이나 통증 등이 발생합니다.

손목의 단면을 통해 좀더 살펴보면, 가로손목인대가 손목터널의 지붕 역할을 하고 손목뼈들이 손목터널의 바닥 역할을 하는 것을 알 수 있습니다. 이렇게 형성된 손목 터널의 공간으로는 정중신경을 비롯하여 손가락을 구부릴 때 사용되는 힘줄들이 통과합니다.

정중신경이 기원하는 부위에서부터의 해부학적 주행경로나 경로상에 신경이 잘 눌릴 수 있는 부위가 추가적으로 몇군데 더 있지만 이번 글의 주제를 벗어나는것 같아 생략하겠습니다.
흔한 발생 위험 요인으로는
① 중년의 나이
② 여성
③ 임신
④ 흡연자
⑤ 비만
⑥ 요골 원위부 골절
⑦ 당뇨
⑧ 투석을 하고 있는 말기 신질환자
⑨ 류마티스성 관절염
⑩ 갑상선 기능 저하증
⑪ 반복적인 손목의 움직임을 직업적으로 요구하는 사람
⑫ 진동이나 차가운 환경에 반복적으로 노출되는 경우
⑬ 손목에 결절종(강글리온, ganglion) 이나 종양이 생긴경우 등이 있습니다.
나열한 순서가 위험성의 정도와 비례하지는 않고, 임의로 나열한 것이므로 참고하세요~
2. 증상
정중신경이 피부 감각을 담당하는 1~3번째 손가락 및 4번째 손가락의 요골측(엄지손가락쪽) 절반의 감각이 둔해졌다거나 저린 증상, 통증을 가장 흔히 호소합니다. 바로 위의 그림들의 음영부분을 참고하세요 ^^.
밤에 잘때 감각이상을 호소하는 경우가 흔히 있으며, 심한 경우 잠에서 깨기도 합니다. 이때 손을 앞뒤로 털어주면서 흔들면 증상이 조금 호전되기도 합니다. 이를 의학용어로는 Flick sign 이라고도 합니다.
통증이 심한 경우에는 전완부(아래팔)나 상완부(위팔)까지 위쪽으로 퍼지기도 합니다. 통증이 퍼지는 양상만 가지고 감별하기는 어렵지만, 목 디스크의 경우에도 손 저림이나 통증이 있을 수 있지만 이때는 방사통이 위에서 아래 방향으로 나타나기 때문에 손목터널 증후군과는 차이가 납니다. (다만, 드물게 목 디스크와 손목터널 증후군이 동시에 증상이 나타나는 경우도 있습니다.)
엄지손가락 밑에 살이 통통한 부위를 의학용어로는 thenar eminence (엄지두덩) 이라고 합니다. 손목터널증후군이 심하면 착각하실수도 있지만 대개의 경우에는 엄지두덩 부위의 감각은 보존됩니다. 왜냐하면 이 부위의 감각을 담당하는 신경이 정중신경의 한 가지인 palmar cutaneous branch 인데, 이 가지는 손목터널보다 근위부(위쪽)에서 분지되기 때문에 손목터널에서 정중신경이 눌리는것과는 무관합니다. 만약 엄지두덩 부위의 감각이상이 확실하다면 다른 원인도 꼭 염두에 두어야 합니다.


그 밖의 증상으로는 손가락이 부은것처럼 느껴지기도 하고 신경이 심하게 눌릴 경우 물건을 쥐는 힘이 약해지거나, 들고 있는 물건을 떨어뜨리는 경우가 발생하거나, 일상생활에서 세밀한 손동작을 하는데 어려움을 호소할 수 있습니다. 또 손목을 구부리는 동작을 할때 증상이 악화되기도 합니다.
3. 신체진찰
① Phalen test
책상이나 탁자위에 팔을 두거나 앉은자세에서 양쪽 손의 손등쪽이 닿은채로 손목을 최대한 굴곡 시킵니다. 굴곡 시킨 상태를 30~60초 가량 유지합니다. 이러한 자세는 손목 터널내의 압력을 증가시켜 정중신경이 눌리는 상황을 유발하는 검사방법입니다. 저리거나 둔한감각과 같은 호소하던 증상이 재현된다면 검사 양성으로 판정합니다.

② Tinel sign
정중신경의 주행경로를 따라 가볍게 두드리는 검사 방법으로, 이때 손의 저린 느낌이 재현된다면 검사 양성으로 판정합니다.

4. 증상의 심한 정도에 따른 분류
| 단계 | 증상 |
| 1 (경증) | 간헐적으로 밤에 깸 저리거나 둔한 느낌 활동시 증상 악화 근육이 빠지지는 않음 가장 흔하게는 3번째 손가락에 증상 발생 |
| 2 (중등증) | 유발검사 양성 (Tinel sign, Phalen test) 엄지두덩 근육의 위약감 (근위축은 없음) : 쥐는 힘의 약화 단일필라멘트 검사에서 비정상일 수 있음 |
| 3 (중증) | 엄지두덩 근육의 위축 하루종일 지속적인 증상 호소 유발검사 음성으로 나올 수 있음 단일필라멘트 검사에서 비정상 |
5. 검사
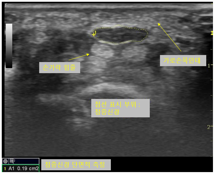
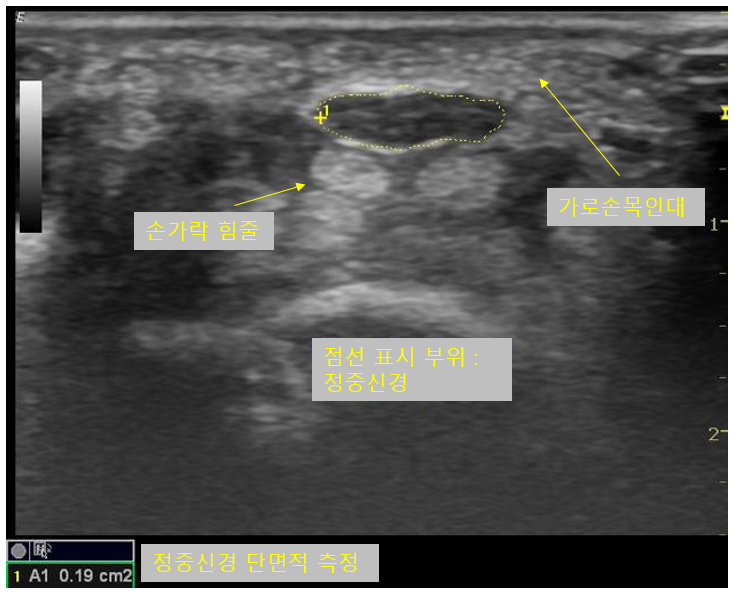
① 초음파 검사
초음파 검사에서 정중신경이 눌려있을 경우 초음파음영이 감소하여 정상보다 어둡게 보이며, 흔히 신경이 벌집모양으로 보인다고 설명하는데 벌집모양이 뚜렷하게 보이지 않고 소실될 수 있습니다. 좀더 객관적으로 데이터화 하기 위해 정중신경의 단면적을 측정할 수 있습니다. 신경이 눌릴 경우엔 눌린 부위보다 근위부에선 신경의 단면적이 증가하게 됩니다. 고무풍선과 같이 탄력성 있는 물체의 한쪽 부분을 눌렀을때를 생각해보시면 이해가 쉬우실것 같습니다.

한 부위에서만 단면적을 측정할 경우 정확성이 떨어질 수 있기 때문에 손목터널 보다 조금더 근위부에서도 측정하여 단면적의 차이가 기준치를 초과하는지 검사하기도 하고, 손목터널에서의 단면적과 전완부에서의 단면적의 비율로 판단하기도 합니다.
② 신경전도 & 근전도 검사
가장 민감하고 신경의 상태를 정확히 알 수 있는 검사입니다. 신경과 해당 신경의 지배를 받는 근육의 전기생리학적 특성을 객관적인 수치로 기록하는 검사로 여러가지 측정값들을 기록하여 분석합니다. 이 검사의 결과에 따라서도 심한정도를 분류할 수 있습니다. 당뇨가 있을 경우 당뇨병성 말초신경병증의 영향이 있을 수 있기 때문에 검사 결과 해석에 좀더 주의가 필요합니다.

| 단계 | 이상소견 |
| 경증 | 감각신경전도 검사의 이상 |
| 중등증 | 감각신경 + 운동신경전도 검사의 이상 |
| 중증 | 감각신경 + 운동신경전도검사 + 근전도 검사의 이상 |
신경압박 부위를 해부학적으로 정확히 확인하기 위해 MRI 검사를 시행하기도 합니다.

❚ 한의원에서는?
□ 수근관증후군의 경우 침구(鍼灸)치료가 효과적입니다. 침치료를 통해 수근관증후군에 의한 증상을 호전시킬 수 있고, 손상된 정중신경의 회복을 도와 감각과 운동기능을 향상시킬 수 있으며, 뇌 구조를 변화하게 하여 통증을 개선시킵니다.
□ 침치료에 전침치료를 더하면 정중신경의 전도속도를 향상시키고 통증을 개선하는 효과를 상승시킬 수 있습니다.
□ 한약치료는 혈액순환을 원활하게 하고 신경을 회복시키며 손목의 잦은 사용으로 인한 피로와 부종을 해결해 줍니다.
□ 완고한 증상에는 약침 치료와 침도 요법이 좋습니다.
❚생활 관리

□ 일상생활에서 손목이 굽히는 자세를 피하는 것이 좋습니다. 야간에 악화될 경우 일시적으로 유발되는 손목 굽힘 자세를 피하기 위해 손목 보호대를 착용하면 좋습니다.
□ 컴퓨터 작업으로 인해 수근관증후군이 발생하였을 경우 손목을 압박하지 않도록 컴퓨터 사용 시 아래팔지지대를 사용합니다. 또한 손목 아래에 쿠션을 받쳐 주거나 컴퓨터 높이를 조정하여 손목 관절을 굽힘 상태로 오래 있지 않게 해야 합니다.
전주 이진복한의원 이진복원장(한의학박사, 침구의학과 전문의)

'의학이야기 > 의학 지식' 카테고리의 다른 글
| 전주 이진복한의원 명절증후군 (0) | 2021.09.20 |
|---|---|
| 전주 이진복한의원 체중감량 식이조절 기본 대원칙(이것 말고는 없어요) (0) | 2021.09.17 |
| 전주 이진복한의원 거북목 일자목을 추나요법으로 교정 (0) | 2021.09.15 |
| 전주 이진복한의원 대상포진, 물집 생기기 전 진단이 가능할까? (0) | 2021.09.14 |
| 전주 이진복한의원 기능성 설사 (0) | 2021.09.13 |
댓글