안녕하세요.
전주 이진복한의원 이진복원장입니다.
머리를 감거나 바닥에 있는 리모컨을 주으려고 허리를 숙이는 순간 뜨끔하는 느낌과 함께 강한 허리통증이 발생하는 경우를 요추 염좌라고 합니다.
간혹 섬유륜이 파열된 경우도 있는데 보통 1-2주정도에 증상이 완화되는 요추 염좌에 비해 통증이 극렬하고 환자 스스로 움직이거나 걷는것조차 힘들어하는 특징이 있습니다. 대부분의 섬유륜 파열 환자분들은 악! 하는 순간 뼈가 어긋나는 느낌, 안에서 뭔가 끊어지는 느낌, 칼로 찌르는 것 같은 강렬한 통증이 있었다고 말씀하시며, 바로 주저앉거나 누워서 한동안 움직이지 못했다고 하거나 그대로 응급실에 실려 갔다는 경우도 많습니다.

허리 주변의 인대나 근육이 삐끗하는 요추염좌와는 다른 섬유륜 파열(디스크)에 대해서 알아 보겠습니다.
섬유륜파열에 대해 설명드리기 위해서 디스크의 구조에 대해 간략하게 아셔야 합니다. 추간판 디스크는 척추뼈 사이에 위치하여 운동성을 유지하고 중력의 작용에 대한 충격을 최대한 흡수하고 마찰을 감소시키는 역할을 합니다. 추간판은 중심부의 연한 수핵을 주변의 질긴 섬유륜이 감싸고 있는 형태로 이루어져 있습니다. 수핵은 연골세포와 수분흡수력이 큰 교원섬유로 구성되어 있어 상대적으로 수분 함유량이 많고 말랑말랑하지만, 20대가 지나면 퇴행성 변화를 수분함유량이 서서히 감소되면서 딱딱해지고 탄력도 줄어듭니다. 섬유륜은 탄력섬유들이 꼬여서 망을 이루는 구조로 수핵을 감싸서 벽을 이루는 구조물입니다. 얇은 층판 사이에 교원섬유가 배열된 형태로 되어 있어 상대적으로 질긴 것이 특징입니다.
섬유륜 파열 annular tear는 디스크의 겉껍질에 해당하는 섬유륜이 찢어져 발생하는것으로 순간적인 통증의 강도가 매우 심한것이 특징입니다. 섬유륜의 전층이 파열되지 않고 일부분은 찢어졌으나 수핵은 밀려나가지 않고 제자리에 있는 경우를 섬유륜 파열이라 합니다. 섬유륜이 찢어지면서 수핵이 밀려나오는 추간판탈출, 디스크와는 다른 질환이나, 치료를 제대로 받지 않고 무리하게 사용하여 전층의 섬유륜이 파열되게 되면 디스크로 진행될 수 있습니다.

정상 팽륜 돌출 탈출 부골화
추간판탈출증은 정도에 따라 팽륜 bulging, 돌출 protrusion, 탈출 extrusion, 부골화 sequestered disc로 분류됩니다.
팽륜은 섬유륜의 파열 없이 추간판이 밀려나는 것으로 디스크 질환의 범주에 해당하지 않습니다.
내측 섬유륜이 파열되었으나 외측 섬유륜은 파열되지 않아 수핵이 외부로 밀려 나온 상태를 돌출이라 하며, 섬유륜이 전층으로 파열되어 수핵의 일부가 빠져나왔으나 원래 디스크와 연결되어 있는 경우를 탈출, 탈출된 수핵이 완전히 분리되어 부골화된 추간판 조각이 척추관 내에서 이동하는 것을 부골화 추간판이라 합니다.
탈출된 디스크가 신경근을 압박하는 추간판탈출증에 비해 병변의 크기가 매우 작음에도 불구하고 섬유륜 파열에서 극렬한 통증이 나타나는 이유를 phospholipase A2등의 여러가지 Cytokine 염증인자가 신경주위 조직으로 분비되어 화학적 염증반응에 의해 통증신호가 생기기 때문이라고 설명합니다. 수핵에 많이 포함되어 있으며, 산성, 점액성 성질을 가지는 proteoglycan은 유착과 흉터가 생기지 않도록 방어하고 충격을 흡수하는 역할을 합니다. 섬유륜이 파열되어 proteoglycan이 섬유륜 사이에 끼게 되면 콜라겐 섬유의 형성을 방해하여 섬유륜의 회복이 늦어져 병변의 정도에 비해 통증이 오래 갈수 있습니다.
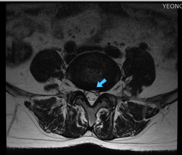
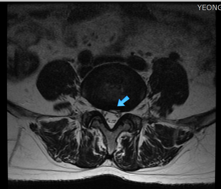
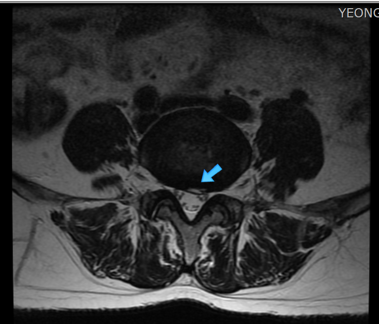
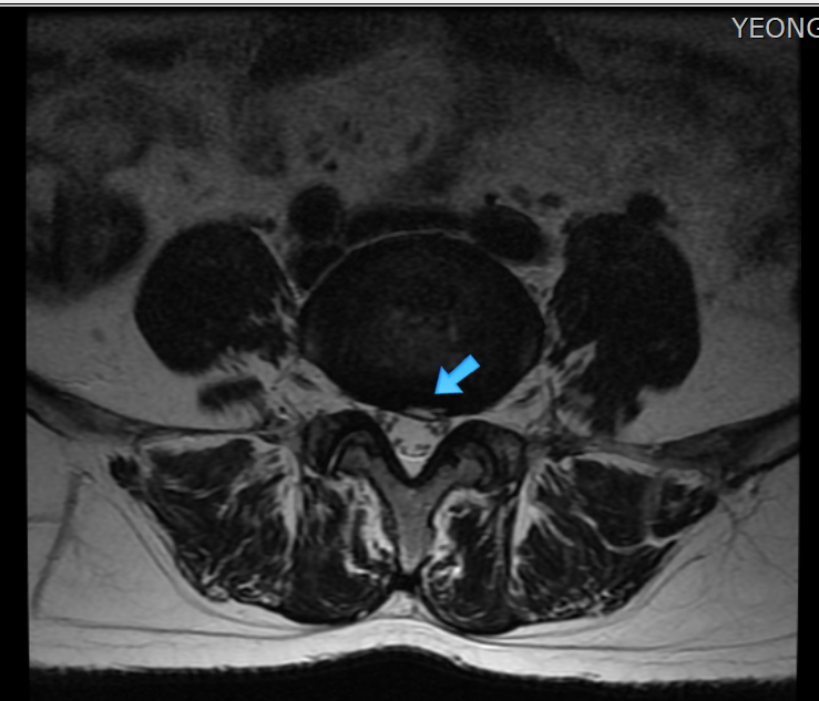
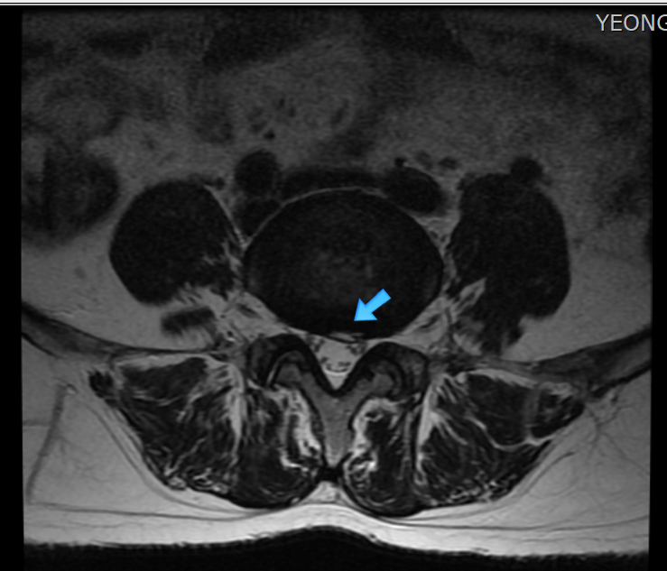
섬유륜파열은 굴곡, 신전, 측굴등의 관절가동범위를 제한하는 극심한 허리통증을 주증상으로 하지만 근력 약화, 하지의 방사통 또는 저리는 감각이 생길수도 있습니다. 허리에 부하되는 작은 압력도 잘 견디지 못하여 milgram test나 balsalva test 등에서 양성이 나오는 경우가 많으며 브릿지 동작등도 하기 힘들어 합니다. 특징적인 임상증상과 경과에 따라 진단하며, MRI 검사가 반드시 권고되는 것은 아니나 MRI 검사상에서 Annulus fibrosus의 열상(tear 또는 fissure)은 T2 강조영상과 조영증강영상에서 고신호강도(high siganl intensity zone)을 보입니다.


섬유륜파열 MRI 소견
한의원에서 치료할때는 파열된 섬유륜에 2차 손상이 오지 않도록 척추관절 주변의 염증을 줄이고, 염증으로 인해서 지속적으로 굳어지고 긴장되는 주변 근육의 경결 풀어주어 빠른 회복을 돕는데 치료 목표를 둡니다. 염증 완화작용이 강한 약침 등을 환부의 혈위에 사용하고, 전침치료, 부항치료등을 통해 주변부 근육의 경결을 풀고 통증을 완화시킵니다.


손상부위에 2차 손상이 가해지면 회복이 늦어지거나 디스크로 진행될수 있기 때문에 초기 통증이 심한시기에는 병변이 회복될수 있도록 충분한 휴식을 취해주셔야 합니다. TV나 핸드폰을 사용하면서 오래 앉아 있거나 앞으로 구부리는 동작, 무거운것 들기 등은 섬유륜의 추가 손상을 일으킬수 있으므로 가능한 피하시고, 휴식시에는 허리가 압력을 받지 않도록 누워서 쉬시는것이 가장 좋습니다. 반듯하게 눕기 힘들다면 무릎 밑에 베개를 넣어 살짝 무릎을 굽히고 누우시거나, 다리사이에 베개를 넣어 옆으로 누우셔도 좋습니다.
통증이 심한 초기 1-2주에는 2차 손상을 예방하기 위해 활동시에 복대나 보호대를 착용하시는 것도 권고드립니다. 누워서 쉬고 있을때도 하루종일 복대를 착용하시거나 회복이 된 이후에도 장기로 복대를 착용하시면 허리 주변의 근육이나 인대가 약화될수 있으므로 어느정도 회복되시면 착용 시간을 점차 줄여주세요.
평균 치료기간은 2-6주로 통증과 움직임 제한이 없어질때까지 무리한 운동을 절대 해서는 안됩니다. 허리 주변의 근력을 강화시키는 운동은 통증이 없어지고 난 이후 전문가와 상의후에 저강도의 운동부터 서서히 시작하는것이 안전합니다. 허리를 삐끗한 이후 통증이 점점 심해지거나 잘 낫지 않으신다면 섬유륜 파열이거나 디스크 초기 증상이실수 있으므로 방치하지 마시고, 바로 내원하시어 진료 받아보세요.
전주 이진복한의원 이진복원장(한의학 박사, 침구의학과 전문의)

'의학이야기 > 의학 지식' 카테고리의 다른 글
| 전주 이진복한의원 관절액의 생리와 조성 (0) | 2022.03.07 |
|---|---|
| 전주 이진복한의원 항암치료 (0) | 2022.03.02 |
| 전주 이진복한의원 갱년기 증후군 (0) | 2022.02.25 |
| 전주 이진복한의원 시그니처 치료 (0) | 2022.02.23 |
| 전주 이진복한의원 원장 박사논문 (0) | 2022.02.21 |

댓글