아마 구조의학을 공부하시는 분들이라면 얀다 책, 켄달 책이나 기타 물리치료학 책을 보셨을 겁니다.
골반 전방 경사 되면, 요추는 과전만 된다고....
수련의할 때, 추나를 하면서 구조의학책을 정말 열심히 본 듯 하네요.
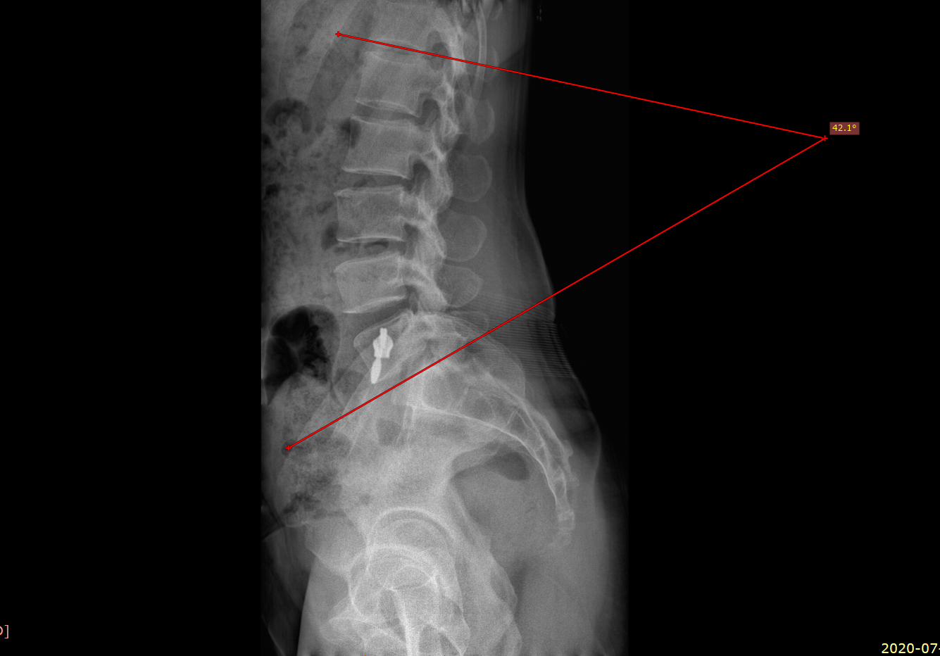
그리고, 군의관으로 사단 의무대 근무 당시 정말 열심히 엑스레이 찍어서 확인해 봤는데...
왠 걸, 안 맞더라구요....
사람 몸이 제각각이고 좌우 대칭이 안 된다는 걸, 교과서적으로 맞질 않다는 걸 아주 절실히 봤습니다.
치료에 있어서도 반드시 확인해 봐야 할 부분입니다.
추나 치료나 스트레칭, 도수 치료 등을 시행하시는 분들은 꼭 사진 촬영을 통해서 확인을 해 보세요.
눈으로 보는 것과는 확연히 다릅니다.


'의학이야기 > 의학 지식' 카테고리의 다른 글
| 허리 건강 지키기 (0) | 2020.10.11 |
|---|---|
| 12뇌신경 (0) | 2020.09.09 |
| 아이들도 한약 잘 먹습니다. (0) | 2020.09.05 |
| 얼마나 먹어야 '적정음주'일까? 적정음주 (0) | 2020.09.03 |
| 금연합시다~~! (0) | 2020.08.27 |
댓글