안녕하세요.
전주 이진복한의원 이진복원장입니다.
오늘은 만성적인 등통증을 호소하는 견갑배신경 포착 증후군에 대해 알아 보겠습니다.
“날개죽지 사이가 맨날 아파요”

이러한 호소 역시 한의원에 내원하시는 분들로부터 자주 듣는 것 중 하나입니다. 흉추 후만(kyphosis)으로 인한 만성적인 근육의 과긴장과 흉추 분절의 문제를 확인해야 하는 경우도 많지만, 때로는 이러한 통증이 경추 문제에서 비롯되기도 합니다. 그 중 특히 문제가 되는 것 중 하나는 견갑배신경(dorsal scapular nerve)의 포착입니다.
견갑배신경은 주로 상완신경총의 윗가지인 경추 5번 신경근에서 기시하여 이 전사각근과 중사각근이 이루는 사각근 삼각공간(interscalene triangle)과 중사각근 관통하여 뒤편으로 내려가 견갑거근과, 능형근을 지배합니다. 따라서 견갑배신경이 포착되면 견갑배신경이 지배하는 능형근, 즉 견갑골 내측 부위에 통증이 발생하게 됩니다.


환자들은 목과 견갑골 내측의 통증 또는 어깨 및 팔의 통증을 호소할 수 있습니다. 또 팔의 외전 동작이 약화되고 드물지만 심한 경우에는 익상견(winging scapular)이 나타나기도 합니다. 물론 이는 흔한 경우는 아니며, 이 경우 치료가 쉽지는 않습니다.
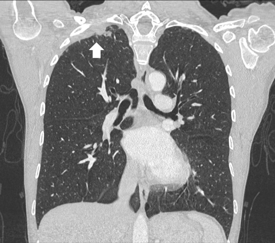
또 한 가지 강조하고 싶은 것이 있습니다.
견갑배신경 포착에 대한 침구치료, 부항치료, 약침치료, 경추 교정 등으로 증상이 완화되었다 할 지라도 만약 다시 통증이 재발되고, 증상이 악화되는 경향이 있다면 드물지만 악성질환의 가능성도 염두에 둡시다. 저에게는 뼈에 사무치는 임상에서의 경험입니다. 원래 등 통증은 폐의 내장연관통이 나타나는 부위이고도 하지만 상구종양이라고도 불리는 폐첨부의 판코스트 종양(pancost tumor)에서는 경추 8번 신경이나 흉추 1, 2번 신경을 압박하여 목디스크와 유사한 통증을 유발하기에 근골격계성 통증이나 신경통으로 오인됩니다. 사실 근골격계를 주로 살피는 정형외과의, 재활의학과의, 그리고 일부 한의들의 경우 이런 악성질환의 가능성은 놓치기 되게 쉽습니다. 폐암의 경우 초기에 무증상인 경우가 많고 신경통 양상만이 유일한 증상으로 나타나는 경우가 있습니다. 1차 임상에서 경솔하게 판코스트 종양을 의심하기가 결코 쉽지 않지만, 체중이 빠진다거나 너무나 일반적인 경과와 다르게 병기가 진행된다면 한번쯤 전신 검사도 받게 하셔서 내장 문제를 배제할 필요가 있겠습니다.

<내용출처:한의협동조합>
전주 이진복한의원 이진복원장(한의학 박사, 침구의학과 전문의)

'의학이야기 > 의학 지식' 카테고리의 다른 글
| 전주 이진복한의원 복재신경 포착 증후군 (0) | 2024.06.17 |
|---|---|
| 전주 이진복한의원 평발(편평족) (0) | 2024.06.10 |
| 전주 이진복한의원 맥립종(눈다래끼) (0) | 2024.05.27 |
| 전주 이진복한의원 발바닥 통증을 일으키는 질환들 (0) | 2024.05.20 |
| 전주 이진복한의원 dermatome (0) | 2024.05.14 |
댓글