안녕하세요.
전주 이진복한의원 이진복원장입니다.
오늘은 기침에 대해 알아보겠습니다.
기침은 갑작스럽게 숨을 내뿜는 반사 행동으로 폐나 기도가 뭔가로 인해 오염되었을 때, 혹은 사레에 들렸을 때 기도 확보를 위해 발생합니다. 이를 유발한 이물질은 가래로 배출/제거되는 경우가 많습니다.
기본적으로 기침은 급성과 만성으로 나눌 수 있는데, 급성은 기침이 3주간 지속되다가 완화되는 것을 의미하며 만성은 기침이 3주 이상 지속되는 경우를 의미합니다. 기침이 한달 이상 지속될 경우, 다양한 검사법을 통해 원인을 찾게 되고 만성 기침의 원인으로 흡연, 후비루, 역류성 및 천식 등이 있다.
간혹 기침과 재채기를 혼용해 쓰는 경우가 있는데, 둘은 전혀 다릅니다. 재채기는 코에서 목까지 이르는 부분에서 일어나는 이물질 등에 대한 반사작용이며, 기침은 목에서 폐에까지 이르는 부분에서 일어나는 작용을 주로 칭하는 것입니다. 일반 기침은 문제가 거의 없지만 잦은 경우 보통 폐렴이나 감기, 천식, 감기몸살 등의 질병에 걸렸을 때 나타나는 증상 중 하나이며 어린아이들이나 기침이 연달아 나오는 일반인들은 증상이 심하면 구토를 유발하기도 하고, 결핵 환자들이나 기침을 너무 심하게 해서 목 안쪽이 헐은 경우 이 때 각혈을 하기도 합니다. 기침이 일과적으로 지나가는 것이라면 큰 문제는 없지만, 만성화되면 대증요법보다는 더 근본적인 원인을 찾아서 치료할 필요가 있습니다.

<출처: 한의정보협동조합>
정의
● 가장 흔한 호흡기 증상으로서 유해 물질이 폐로 들어오는 것을 막거나 폐에 존재하는 해로운 물질을 밖으로 배출하는 신체 방어 작용입니다.
● 의식적으로 할 수도 있고, 나쁜 공기나 위산처럼 자극원에 의해서 신경반사가 일어나 무의식적으로 기침 반사가 일어나기도 합니다.
● 유해물질을 배출하지 않더라도 기관지가 과민해진 상태라면 기침 반사가 일어날 수 있습니다.
● 잦고 심한 기침은 구토, 근육통, 골절, 요실금 등의 증상을 유발할 수 있습니다.
분류
● 급성 : 보통 3주 이내로 지속하는 기침을 말합니다. 상기도 감염(감기)이나 폐렴으로 인한 증상이거나, 유해물질이 폐로 들어갔을 때 발생합니다.
● 아급성 : 3~8주 가량 지속하는 기침입니다. 보통은 상기도 감염 후유증, 천식, 상기도 기침 증후군으로 인해 발생합니다.
● 만성 : 8주 이상 지속합니다. 후두를 지속해서 자극하는 원인을 찾아 교정해야 합니다. 아이들에서는 후비루증후군(상기도 기침 증후군), 천식, 백일해, 세균성 기관지염으로 많이 나타납니다. 반면에 어른들은 담배, 유해물질 등 환경문제, 위식도 역류증, 상기도 기침 증후군, 기관지 천식, 기관지염, 혈압약(ACE 억제제), 만성 폐쇄성 폐 질환 등으로 인해 발생합니다.

<출처: 한의정보협동조합>

<출처: 한의정보협동조합>
진단
● 청진기로 호흡음을 확인합니다.
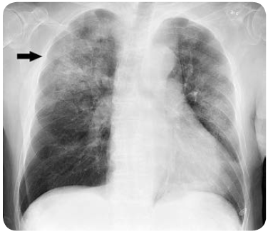
● X-ray : 필요에 따라 기관지염이나 폐렴, 결핵 등 폐 질환을 확인하기 위해 사용합니다.
● 비내시경 : 상기도 기침 증후군을 감별하기 위해 코안을 확인하는 데 사용합니다.
● 위내시경 : 소화기 문제를 감별하기 위해 시행하기도 합니다.
이진복 한의원에서는?
● 원인 질환을 찾아 치료하는 것이 중요합니다.
● 한의학적 진단 방법으로는 풍한(風寒), 담탁(痰濁), 간화(肝火), 폐허(肺虛), 신양허(腎陽虛)로 나누어 진단합니다.
● 인후부 주위 혈자리와 진단에 따른 혈자리를 자극하여 기도의 과민반응과 점액 분비를 줄이고 염증반응을 억제하여 기침을 치료할 수 있습니다.
● 진단에 따라 형개연교탕(荊芥蓮翹湯), 소자강기탕(蘇子降氣湯), 맥문동탕(麥門冬湯), 청폐탕(淸肺湯), 삼소음(蔘蘇飮), 시경반하탕(柴梗半夏湯), 자음강화탕(滋陰降火湯) 등의 처방을 사용할 수 있습니다. 위식도역류증과 같은 소화기 질환이 기침의 원인이라면 평진건비탕(平陳健脾湯), 반하사심탕(半夏瀉心湯) 등을 처방할 수 있습니다.

<출처: 한의정보협동조합>
● 기관지 천식, 만성 기관지염 등에 폐(肺)를 보하고 허손(虛損)을 치료하는 자하거약침(태반약침)을 활용할 수 있습니다.

<출처: 한의정보협동조합>
생활관리
● 기침 반사가 심해질 수 있으니 찬바람이나 건조하거나 공기가 나쁜 곳은 피하고, 담배는 끊는 것이 좋습니다.
● 기침을 지속하면 지속적인 수분 증발이 일어나므로 충분한 수분 섭취와 습도 조절이 필요합니다.
● 가래의 배출이 어려운 경우 흡입기를 사용해서 목에 걸린 가래를 제거해야 합니다.
● 마스크나 팔로 가려서 분비물이 공기 중으로 튀지 않도록 기침 예절을 지켜야 합니다.
<내용출처:한의협동조합>
전주 이진복한의원 이진복원장(한의학 박사, 침구의학과 전문의)

'의학이야기 > 의학 지식' 카테고리의 다른 글
| 전주 이진복한의원 만성전립선염 (0) | 2022.11.14 |
|---|---|
| 전주 이진복한의원 전침 사용에 대해 (0) | 2022.11.11 |
| 전주 이진복한의원 후관절증후군 (0) | 2022.11.07 |
| 전주 이진복한의원 월경전증후군 (0) | 2022.11.04 |
| 전주 이진복한의원 한의사 전문의 (0) | 2022.11.02 |
댓글